의학·과학 건강

기흉,폐주위 기포가 터지며 공기 들어차 폐 압박

파이낸셜뉴스

입력 2006.02.01 14:19

수정 2014.11.07 00:16



20대 직장인 김모씨는 입사 후 첫 해외출장을 다녀왔다가 응급실에 실려갔다. 김씨는 건강을 자신하고 있었기 때문에 큰 걱정을 하지 않고 출장을 떠났다. 하지만 출장 후 귀국하던 비행기에서 갑자기 숨을 쉬기 어려울 정도의 호흡곤란과 참을 수 없는 흉통이 시작된 것이다.

공항에 도착하자마자 곧바로 병원 응급실로 직행한 김씨는 가슴에 공기가 차는 ‘기흉’이라는 병을 진단받고 응급시술을 받았다.

■기흉이란 무엇인가

기흉은 흔히 ‘허파에 바람이 든다’고 잘못 알려져 있는 질병이기도 하다.

이 질환은 폐를 둘러싸고 있는 흉막에서 발생한 공기주머니(기포)가 터지면서 흉막 공간에 공기가 새어 들어가 그 압력으로 폐의 일부분이 쭈그려진 것을 말한다.

주로 위쪽 폐의 표면에서 발생한 기포가 터지면서 허파 내부의 공기가 순간적으로 새어나가게 된다. 이 때 폐에서 빠져 나온 공기가 폐 자체는 물론 주변 장기 특히 심장 혈관을 압박하여 갑작스런 가슴의 통증 및 호흡 곤란을 초래한다.

그러면 건강에 아무 이상이 없는 것처럼 보였던 김씨는 왜 응급처치를 받는 상황까지 가야 했을까.

헬륨가스를 채워 풍선을 하늘로 날려보자. 풍선은 고도가 높아질수록 낮아지는 압력에 의해 풍선 내부공기가 팽창하면서 풍선이 터지게 된다. 김씨의 경우 평소 기흉 발병가능성을 가지고 있었는데 귀국길에 폐에 생긴 공기주머니가 높은 고도로 올라간 비행기 안에서 낮아진 기압으로 공기주머니가 터져 발생한 것이다.

이같은 상황에서는 새어나오는 공기 양이 많아 폐는 물론 인근 장기인 심장에까지 큰 압박을 가해 고통도 심하고 생명을 위협하는 상황까지 발생할 수 있다. 따라서 가슴에 찬 공기를 응급으로 제거하는 시술을 해야했던 것이다.

■젊은 사람에게 많이 발생

기흉은 일반적으로 마르고 키가 큰 젊은 사람에게 많이 발병하는 것으로 알려져 있다. 하지만 발병원인은 정확하게 밝혀지지 않았다.

최근 젊은층에 기흉환자가 늘어나는 것은 우리나라 식생활이 서구화됨에 따라 청소년 체형이 커졌기 때문으로 짐작하고 있다. 또 흡연, 대기 오염 등도 간접적인 영향을 미치는 것으로 알려져 있다.

중장년층인 40∼50대에 발생하는 기흉은 기존의 폐질환 특히 폐결핵, 만성 폐쇄성 폐질환 등을 앓고 있는 환자에서 발생하는 것이 대부분이다.

기흉의 대표적 증상은 서서히 어깨를 압박해 오는 압박통과 가슴의 답답함, 갑작스럽게 숨이 심하게 차는 증상, 숨쉬기 힘들 정도의 호흡곤란이나 흉통을 느끼는 것 등이다.

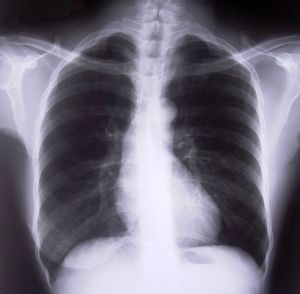
마르고 키가 큰 체형의 젊은 연령층이 격한 운동 중에 갑작스러운 가슴통증과 호흡 곤란 증상이 생기면 기흉이라고 의심해 볼 수 있다. 기흉의 진단은 매우 간단하다. 의사의 간단한 문진과 청진 후 흉부사진 촬영을 통해서 진단할 수 있다.

■어떻게 치료하나

기흉의 치료는 먼저 흉강 내에 찬 공기를 제거하는 것이다. 일반적으로 흉강에 찬 공기 양이 적으면 적절한 환경에서 안정을 취하기만 해도 상태가 호전된다. 흉부 X레이 사진상 기흉의 양이 20%이상이고 단기간내에 치료가 필요한 경우, 손가락 굵기의 관을 갈비뼈와 갈비뼈 사이에 관을 삽입하는 흉관삽관술을 통해 공기를 제거하게 된다.

그리고 재발을 막기 위한 가장 확실한 방법은 기흉의 원인이 되는 폐기포를 제거한다. 이 때 흉강내시경을 이용한 폐기포 절제술을 시술한다. 이 방법은 5일 정도의 짧은 입원기간으로 완치 가능하며 빠른 시간 내에 일상생활로 복귀가 가능하다.

기흉을 예방하기 위한 특별한 예방책은 없지만 청소년의 금연이 무엇보다 중요하다.
패스트푸드에 편향된 식생활 대신 골고루 영양 섭취하여 균형있는 체형을 발달시키는 것도 필요하다. 또한 맑은 공기에서 적당한 운동으로 폐활량을 강화시키는 것도 도움이 될 수 있다.


강북삼성병원 오태윤 흉부외과 교수는 “최근 10∼20대에 기흉이 자주 발생하기 때문에 건강을 과신하지 말고 가슴통증이 발생하면 바로 병원을 찾아야한다”며 “기흉으로 진단받았거나 기흉재발의 가능성을 가진 사람들은 장시간의 비행기 여행하기 전에 병원을 방문하여 전문의의 상담을 거친 후 비행기를 타는 것이 좋다”고 말했다.

/ pompom@fnnews.com 정명진기자

※ 저작권자 ⓒ 파이낸셜뉴스. 무단 전재-재배포 금지