레저·헬스 헬스

'관상동맥 석회화' 젊을수록 진행 빨라…“사망위험 최대 74배↑”

뉴스1

입력 2023.03.08 17:08

수정 2023.03.08 17:08

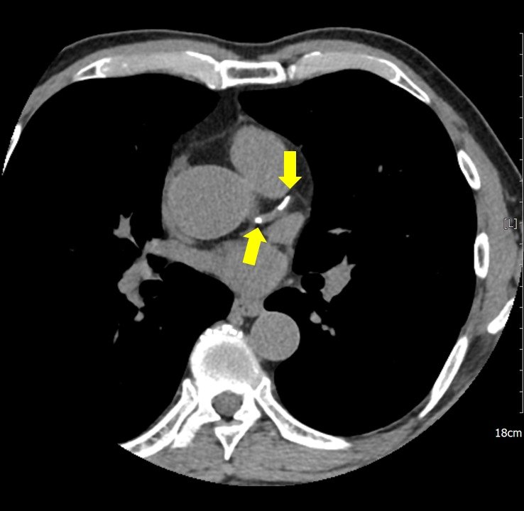
관상동맥석회화/강북삼성병원 제공
관상동맥석회화/강북삼성병원 제공


(서울=뉴스1) 강승지 기자 = 45세 미만 젊은층에서 관상동맥 석회화로 인한 심혈관 질환 사망도가 중·장년층보다 매우 높다는 연구 결과가 나왔다. 관상동맥 석회화란 심장의 관상동맥에 칼슘이 쌓여 혈관이 딱딱하게 굳어진 현상을 말한다.

강북삼성병원은 서울건진센터의 강정규 교수, 데이터관리센터의 류승호·장유수 교수팀이 이런 내용의 연구를 국제 학술지 'European Heart Journal – Cardiovascular Imaging'에 최근 게재했다고 8일 밝혔다.

교수팀은 2010~2020년 병원 건강검진센터에서 관상동맥 컴퓨터단층촬영(CT)을 한 성인 16만821명을 대상으로 관상동맥 석회화 점수와 심혈관 질환의 사망 위험도를 분석했다.

이들은 연구 대상자들을 45세 미만 젊은층과 45세 이상 중·장년층으로 나눠 관상동맥을 평균 5.6년간 추적 관찰했다.



그 결과 관상동맥 석회화 점수가 100점을 초과하는 45세 이상 중·장년층 그룹은 점수가 0인 그룹에 비해 사망 위험도가 8.57배, 300점을 초과하는 그룹에서는 사망 위험도가 6.41배 증가했다.

반면 관상동맥 석회화 점수가 100점을 초과하는 45세 미만 젊은층은 점수가 0점인 그룹보다 사망 위험도가 22배, 300점을 초과하는 그룹에서는 사망 위험도가 74배 증가한 것으로 나타났다.

이에 대해 강정규 교수는 "이번 연구는 젊은 연령층에서 발생하는 관상동맥 석회화의 동맥경화 진행 속도가 빠르다는 것을 의미한다"고 말했다.


이어 "젊은 나이에 발생한 동맥경화는 나이가 들어서 발생한 동맥경화보다 더욱 위협적"이라고 강조했다.

강 교수는 "젊은 연령층 또한 관상동맥 석회화 예방을 위해 건강한 식습관, 규칙적인 운동, 금연, 금주 등 생활습관을 관리하라"고 당부했다.


그러면서 "본인이 동맥경화 위험군이라면 관상동맥 석회화 CT 등을 통해 심혈관 질환의 위험성을 정밀하게 평가해 예방적 약물 치료가 도움이 될지 확인하는 것이 좋다"고 덧붙였다.