사회 사회일반

[위클리 건강] "이쑤시개 잦은 사용보단 치실·치간칫솔 쓰세요"

연합뉴스

입력 2024.08.17 07:00

수정 2024.08.17 07:00

치실·치간칫솔은 양치 때 일반 칫솔과 함께 써야 더 효과 치실, 부드럽게 상하운동으로 5~6회…치간칫솔, 1~2주 간격 교체
[위클리 건강] "이쑤시개 잦은 사용보단 치실·치간칫솔 쓰세요"
치실·치간칫솔은 양치 때 일반 칫솔과 함께 써야 더 효과
치실, 부드럽게 상하운동으로 5~6회…치간칫솔, 1~2주 간격 교체

구강 건강 [게티이미지뱅크 제공]
구강 건강 [게티이미지뱅크 제공]

(서울=연합뉴스) 김길원 기자 = 우리나라 대부분의 식당 계산대에는 이쑤시개가 놓여 있다. 식사를 마친 사람들이 잇새에 낀 음식 찌꺼기를 제거하는 데 사용하라는 취지다.

사실 이쑤시개의 역사는 깊다.

학계에서는 그동안 발굴된 화석으로 볼 때 현생 인류인 호모사피엔스가 등장하기 이전의 조상 인류인 사람족(호미닌)이 이미 동물의 뼈를 작고 가늘게 갈아 이쑤시개로 썼다는 학설부터 기원전 1천600년께 중국에서 우리가 현재 쓰고 있는 형태의 이쑤시개가 처음 사용돼 동아시아로 확산했다는 분석이 공존한다.

서양에서는 고대 로마에서 이쑤시개를 만들어 썼고, 19세기 미국에서 대량생산품이 처음 등장한 것으로 알려진다.

고증 여부를 떠나 동서고금을 막론하고 오랜 기간 이쑤시개가 치아 관리에 필수 요소였던 셈이다.

하지만, 전문가들은 이제 치실과 치간칫솔 등으로 더 꼼꼼한 치아 관리가 가능해진 만큼 이쑤시개를 더는 쓰지 않는 게 좋다고 권고한다.

더욱이 이쑤시개를 치아 사이에 깊숙이 넣는 방식으로 계속 사용하면 오히려 치아 건강에 해가 될 수 있다는 지적도 나온다.

서울대치과병원 치주과 조영단 교수는 "이쑤시개처럼 단단한 도구는 치실이나 치간칫솔처럼 유연성이 없다"면서 "이 때문에 치아 사이에 끼인 음식물을 빼기 위해 이쑤시개를 자주 사용하면 치아가 옆으로 벌어지는 쐐기 효과(wedging effect)로 치아 사이가 더 벌어지고 치태 제거 효과도 없다"고 말했다.

따라서 올바른 구강 관리를 위해서는 이쑤시개보다 치실, 치간칫솔을 이용해야 한다는 게 조 교수의 설명이다.

치실과 치간칫솔을 써야 하는 가장 큰 이유는 치아 사이 부분에 닿지 않아 완벽한 양치가 불가능한 일반 칫솔의 단점 때문이다.

치실은 실 형태여서 치아 사이에 끼어 있는 음식물 찌꺼기 제거에 좋고, 치간칫솔은 치아 사이 부분에 넣어 치면을 닦을 수 있어 치태 제거에도 도움이 된다.

또 치실은 모든 연령층에서 유용하게 사용될 수 있으며, 치아 사이 공간이 넓은 경우에는 치간칫솔을 사용하는 게 좀 더 효과적이다.

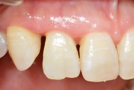
[위클리 건강] "이쑤시개 잦은 사용보단 치실·치간칫솔 쓰세요" 이쑤시개를 자주 써 치아가 벌어진 환자의 모습 [서울대치과병원 제공]
[위클리 건강] "이쑤시개 잦은 사용보단 치실·치간칫솔 쓰세요" 이쑤시개를 자주 써 치아가 벌어진 환자의 모습 [서울대치과병원 제공]

치실과 치간칫솔은 일반 칫솔로 양치할 때 늘 함께 사용하는 게 바람직하다. 일반 칫솔로만 양치를 마무리하면 치아 사이는 전혀 닦이지 않고, 양치해야 하는 대상의 70% 정도만 닦은 것과 같기 때문이다.

조 교수는 "일반칫솔이 교합면(치아에서 반대쪽 턱이 치아와 접해 물리는 면), 협면(치아에서 볼 쪽에 가까운 면), 설면(치아에서 혀 쪽에 가까운 면) 등 치면 전체의 약 3분의 2를 닦아낸다면, 치실과 치간칫솔은 치면 전체의 약 3분의 1을 차지하는 치아 사이의 치간면(치아 사이 부분)을 닦아낸다고 볼 수 있다"고 설명했다.

다만, 치실이나 치간칫솔을 잘못 사용하면 치아에 씌운 금니 등의 보철물이 빠질 수 있어 주의가 필요하다.

치실의 경우 올바른 사용법은 부드럽게 톱질하듯이 치아 사이를 통과시키면서 치실을 치근면(잇몸과 치아 뿌리가 만나는 면)에 부착시켜 치아면을 감싼 채로 상하운동을 5~6회 정도 반복하는 방식이다. 치실을 제거할 때는 위로 다시 통과시켜 제거하기보다는 옆으로 치실을 빼내는 게 좋다.

조 교수는 "치실을 너무 세게 당기거나 잘못된 각도로 반복 사용하면 비정상적인 힘이 작용함으로써 보철물 접착제의 수명이 줄어들 수 있다"면서 "치실로 위, 아래 또는 좌, 우 사선으로 부드럽게 움직여 사용하는 것이 좋다"고 당부했다.

치실 사용 시 적절한 길이는 약 30~40㎝로, 치아 사이에 사용할 3~4㎝ 정도만 남기고 치실을 양쪽 검지 또는 중지 등 편한 손가락에 감는 게 권장된다.

치간칫솔은 일반적으로 1~2주 간격으로 교체하는 게 적당하다.
만약 브러시 부분이 마모되거나 변형됐다면 즉시 교체해야 한다.

또 치실이나 치간칫솔 사용 때마다 피가 난다면 잇몸 염증이나 치주질환의 신호일 수 있는 만큼 주의가 필요하다.


조 교수는 "치실이나 치간칫솔 사용 중 피가 나더라도 올바른 방법으로 계속 사용해 구강을 깨끗하게 유지할 필요가 있다"면서 "그런데도 잇몸 출혈이 지속된다면 치과를 방문해 정확한 진단 및 치료를 받아야 한다"고 당부했다.

bio@yna.co.kr
(끝)
<저작권자(c) 연합뉴스, 무단 전재-재배포, AI 학습 및 활용 금지>