사회 전국

[반복되는 사격장 사고] ① "불안해서 하늘 쳐다보고 살아요"

연합뉴스

입력 2025.03.11 07:01

수정 2025.03.11 07:01

포탄에 집 박살, 도비탄에 관통상…교통사고, 화재 위험성도 커 군 전투기 오폭사고로 경기북부 주민 불안감 확산
[반복되는 사격장 사고] ① "불안해서 하늘 쳐다보고 살아요"
포탄에 집 박살, 도비탄에 관통상…교통사고, 화재 위험성도 커
군 전투기 오폭사고로 경기북부 주민 불안감 확산

[※ 편집자 주 = 경기북부는 접경지인 탓에 군부대가 많고 사격훈련장이 집중돼 있습니다. 이에 훈련 중 크고 작은 사고가 반복되며 민간에 피해를 주고 있습니다. 지난 6일 포천시 이동면 노곡리에서 발생한 공군 전투기 폭탄 오발 사고가 우발적이라고는 하지만 언제든 또 발생할 수 있다는 점에서 이 지역 주민의 불안감이 커지는 상황입니다. 연합뉴스는 이번 사고를 계기로 그간 경기북부 지역에서 발생한 사격장 관련 사고, 주민 반응, 이에 따른 갈등 상황, 사고가 반복되는 이유 등을 살펴보고 해법은 없는지를 2편으로 나눠 긴급 진단합니다.

(포천=연합뉴스) 최재훈 기자 = 공군 전투기가 민가를 오폭격해 수십명이 다치는 초유의 사건에 국민들이 충격에 빠졌다.



오폭으로 파괴된 일상 (출처=연합뉴스)
오폭으로 파괴된 일상 (출처=연합뉴스)

사격장이 밀집한 지역 경기북부 지역 주민들은 "결국 일어날 일이 발생했다"는 반응이다. 오랜 기간 발생했던 사격장 관련 오발 사고, 화재, 소음 피해를 살펴보면 "불안해서 하늘 쳐다보고 살아야 한다"는 이들의 하소연이 엄살이 아님을 알 수 있다.

경기북부지역에는 포천, 파주 등 총 5개 시군에 20곳 사격장이 있다.

포천시에 있는 영평사격장과 승진훈련장이 대표적이고, 파주 무건리 훈련장, 연천 다락대사격장 등도 있다.

특히 1953년부터 사용한 포천 영평사격장은 1천322만㎡ 규모로, 박격포, 전차, 헬기 등 사격훈련이 계절을 가리지 않고 진행돼 주민들이 고통을 겪고 있다.

포천 영평사격장 (출처=연합뉴스)
포천 영평사격장 (출처=연합뉴스)

◇포탄·총알 언제 어디서 날아올지 몰라…공포의 오발사고
사격장 인근 지역 주민들을 가장 공포에 떨게 하는 것은 언제 날아올지 모를 포탄과 총알이다.

수십 km를 날아가는 포탄의 사정거리와 어디로 튈지 모르는 도비탄(발사된 탄환이 딱딱한 물체와 충돌해 엉뚱한 곳으로 날아가는 것)의 특성을 고려하면 사격장과 다소 거리가 있거나 사격 방향과 다른 쪽에 있어도 안심할 수 없다.

2023년 10월 포천시 영중면에서 주행 중이던 스포츠 유틸리티 차량(SUV) 유리에 총알이 박혔다.

차에 박힌 총알 (출처=연합뉴스)
차에 박힌 총알 (출처=연합뉴스)

당시 미8군 사령관은 영평훈련장에서 지역 주민을 만나 오발사고에 대한 미군의 책임을 인정했다.

같은 해 8월 파주시 공장 야외에서 철근 작업을 하던 남성이 왼쪽 발에 총상을 입었다. 인근 육군부대에서 진행된 개인 화기 사격 훈련과 밀접한 연관이 있는 것으로 보고 조사가 진행됐다.

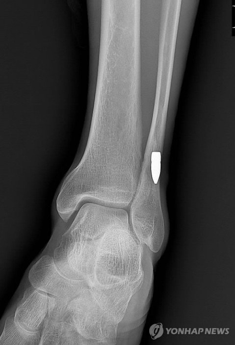
2014년 2월 일산동구 식사동 자동차재활용센터 신축 공사장에서도 일하는 50대가 왼쪽 발목에 총상을 입었다.

발목에 박힌 K2 소총 탄두 (출처=연합뉴스)
발목에 박힌 K2 소총 탄두 (출처=연합뉴스)

2017년 11월 영평 사격장에서 2∼3km 떨어진 포천 영북면 문암리에서 기관총 탄환이 지붕을 뚫고 보일러실 바닥에 떨어졌다.

이때도 미군 측은 합동 조사를 통해 발견된 탄환이 미군 기관총 사격 훈련 중 사용된 것이라 밝혔다.

2015년은 유독 오발, 도비탄 사고가 많은 해였다.

12월에는 영중면의 한 기도원에 길이 약 50㎝, 직경 약 20㎝의 대전차 미사일이 떨어졌다. 폐쇄된 기도원이라 인명피해는 발사하지 않았지만, 굉음과 연기에 놀란 주민들이 놀란 가슴을 쓸어내려야 했다.

같은 해 10월 포천 영평사격장 인근 마을 축사에 총탄이 지붕을 뚫고 떨어졌다.

3월에는 포천시 영북면 야미리에 연습용 포탄이 주택 지붕을 맞고 튕겨 나가 인근 밭에 떨어졌다.

포천 민가에 떨어진 연습용 포탄 (출처=연합뉴스)
포천 민가에 떨어진 연습용 포탄 (출처=연합뉴스)

비슷한 시기 영북면 소회산리에는 소나무 밭에 미군 105mm 대전차 연습탄이 떨어졌으며, 2014년 10월에는 영북면의 한 에어컨 설치 업체 사무실에 총알이 날아와 천장을 뚫고 떨어지기도 했다.

◇귀환하던 군 차량에 미선·효순 희생…소음, 산불 피해도
사격장 훈련을 위해 이동하는 군 차량으로 인해 사고가 발생하기도 한다.

효순·미선양 사망 사건은 대표적인 군 차량 사고다.

2002년 6월 무건리 훈련장에서 훈련을 마치고 복귀하던 주한미군 궤도 차량이 양주시 광적면을 지나다 효순·미선양을 치어 사망하게 했다. 이후 차량을 운전한 미군 병사가 무죄 판결을 받으며 이 사건은 대규모 반미 시위와 촛불집회로 이어졌다.

2020년 8월 포천시 관인면에서도 다연장포 사격 훈련을 마치고 복귀하던 미군 장갑차를 SUV 차량이 추돌, 50대 부부 2쌍 총 4명이 숨졌다.

미 장갑차와 SUV 추돌 (출처=연합뉴스)
미 장갑차와 SUV 추돌 (출처=연합뉴스)

사격장 인근 지역은 포사격으로 인한 화재, 특히 산불의 위험성에도 항상 노출돼 있다.

특히 산불은 진화가 까다롭다. 불발탄과 지뢰 위험 때문에 차량과 인원 투입이 제한되고 미군 관리 지역이라 관할 문제도 있다.

20223년 2월 영평사격장에서 발생한 산불에는 인력 투입이 제한돼 진화까지 만 24시간이 걸리기도 했다.

소음 문제도 주민들의 치를 떨게 한다.

가축에도 악영향이다. 2016년 3월에는 포천시 오가리에서 쌍태우(雙胎牛)를 7개월째 품고 있던 어미소가 유산했다는 신고가 접수되기도 했다.

주민들은 "사격하면 놀란 소들이 울부짖으며 뛰어다닌다"며 "새끼를 밴 암소들은 분비물을 흘리다 유산하기 일쑤"라고 말했다.

유산된 쌍둥이 새끼 소 (출처=연합뉴스)
유산된 쌍둥이 새끼 소 (출처=연합뉴스)

2017년에는 영평사격장 야간사격 때 약 300m 떨어진 마을까지 소음이 얼마나 퍼지는지 실험이 진행됐다.

실내에서는 70∼80㏈, 야외에서는 80∼100㏈의 소음이 측정됐다. 최대 104㏈이 측정되기도 했다.

야외에서 측정한 소음은 환경부가 정한 야간(오후 10시∼오전 6시) 층간소음 허용기준 40㏈의 2배에 달한다.

◇"이번 공군 전투기 오폭 사건으로 불안감 더 커져"
뾰족한 대책 없이 사고가 이어지다 초유의 오폭 사태까지 벌어지며 주민들의 불안감은 커지고 있다. 이번 사고로 10일 현재 피해 건수는 152건, 민간인 19명이 다쳤다.

포천에서 농사를 짓는 주민 50대 A씨는 "사격장과 이용하는 농막 사이 거리가 있어 그동안은 이렇게 까지 불안하지는 않았는데 이번 공군 오폭 사건을 보고 나도 피해자가 될수 있다는 생각에 불안감이 생기기 시작했다"고 전했다.

불안감은 인근 지역까지 확산하고 있다.

양주시 광적면 가납리에도 육군 헬기장에서는 영평 사격장으로 사격 훈련을 하려는 헬기들이 수시로 뜬다.

가납리 주민 김모(62) 씨는 "수십여대의 헬기가 훈련할 때면 지축이 흔들리고, 집안 창문이 흔들려 깨질 정도"라며 "포천 폭탄 사고처럼 헬기가 민가에 불시착이라도 하면 어떡하나 하는 걱정은 늘 하고 있다"고 불안해했다.

역시 헬기장이 있는 파주 아동동 주민 권모(56) 씨도 "우리 집 앞에도 군 헬기가 수시로 이·착륙을 하는데 바람이 많이 불고하는 날에는 헬기가 민가로 착륙을 하는 건 아닌지 항상 긴장감을 갖고 있다"고 말했다.


오폭사고 현장 지원 나선 공군 (출처=연합뉴스)
오폭사고 현장 지원 나선 공군 (출처=연합뉴스)


연천군 사격장 인근의 주민 김모(58) 씨는 "북한을 마주하고 사는 우리는 평생 안보를 위해 희생해 왔다. 포천 사고 소식을 접하고 너무 불안하다"면서 "군 훈련으로 소음이 발생하는 비행장 및 사격장 인근 지역 주민은 항상 불안감을 갖고 살고 있다.
훈련 시 안전한 대책을 정확히 마련해 주길 당부한다"고 전했다.

jhch793@yna.co.kr
(끝)
<저작권자(c) 연합뉴스, 무단 전재-재배포, AI 학습 및 활용 금지>