사회 전국

두통 호소한 60대 여성 머릿속 가득한 기생충 '모양'…정체는 '금침'

뉴스1

입력 2025.03.12 19:52

수정 2025.03.12 19:52

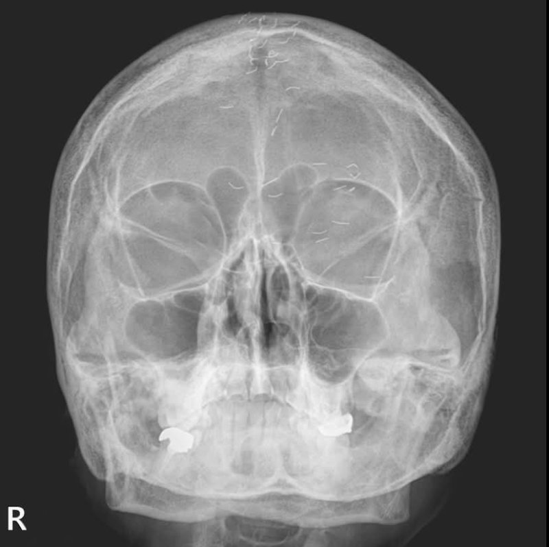
양성관 의정부백병원 가정의학과 과장이 SNS에 공개한 60대 여성 환자의 머리 엑스레이 사진. (양성관 의사 페이스북 캡쳐)/뉴스1
양성관 의정부백병원 가정의학과 과장이 SNS에 공개한 60대 여성 환자의 머리 엑스레이 사진. (양성관 의사 페이스북 캡쳐)/뉴스1


(의정부=뉴스1) 양희문 기자 = 60대 한국 여성 머릿속에 기생충처럼 보이는 수많은 이물질이 흩어져 있는 엑스레이 사진이 공개됐다. 이는 얇은 순금을 통증 부위에 주입하는 '금침요법'으로 인해 생긴 것으로, 이물질이 남아 있는 상태에서 시행할 경우 염증 악화와 2차 감염으로 이어질 수 있다.

양성관 의정부백병원 가정의학과 과장은 최근 자신의 소셜네트워크서비스(SNS)에 '한국형 진료'라는 제목으로 금침에 관한 글을 올렸다.

양 과장은 "60대 여성 환자의 엑스레이에 1㎝ 크기의 수많은 이물질이 보였다"며 "기생충인가? 전기칩인가? 외국이었다면 특이한 환자 사례로 올랐을 것"이라고 적었다. 이어 "하지만 한국 의사라면 보자마자 헛웃음을 짓는다"며 "이물질의 정체는 기생충이나 전기선이 아니라 금침 자국이었다"고 했다.



금침요법은 금실매선요법을 말한다. 얇은 순금을 1cm 미만의 길이로 등분한 뒤 통증 부위에 주입하는 치료법이다. 한 번 주입한 금실이 해당 부위를 지속해서 자극해 치료 효과를 높인다고 한다. 그러나 몸속에 잔여 이물질이 남아 있으면 염증 악화와 2차 감염 등으로 이어질 수 있다.


양 과장은 해당 환자에게 '긴장성 두통' 진단을 내렸다. 그는 "뇌 MRI(자기공명영상)와 MRA(자기공명혈관영상) 검사는 정상이었고, 출혈·뇌암·뇌경색은 확실히 아니었으니 긴장성 두통이 확실했다"며 "환자에게 너무 걱정하지 말라고 했다"고 전했다.


금속으로 된 물질을 몸 안에 삽입하는 금침요법은 예측하기 힘든 다양한 부작용을 유발할 수 있다는 우려 때문에 주의가 요구된다.