사회 노동복지

"나이 많아 검진 제외됐는데"…CT 한번에 폐암 조기발견

뉴시스

입력 2025.08.20 14:36

수정 2025.08.20 14:36

70세 이상 남성 대상 '저선량 흉부 CT' 시행 결과 퍠암 진단율 2.2%…조기발견으로 90% 적절 치료
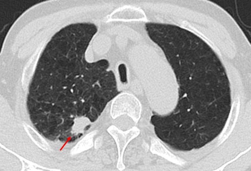
[서울=뉴시스] 저선량 흉부 CT 검사에서 폐결절 확인 사진. (사진= 한림대동탄성심병원 제공)
[서울=뉴시스] 저선량 흉부 CT 검사에서 폐결절 확인 사진. (사진= 한림대동탄성심병원 제공)
[서울=뉴시스] 류난영 기자 = 국가 건강 검진에서 75세 이상의 고령자는 효율성 문제로 폐암 검진 대상에서 제외되는 경우가 많다. 그러나 최근 국내 연구팀이 70세 이상 고령자도 단 한 번의 저선량 CT(전산화단층촬영) 검진으로 폐암을 조기에 발견할 수 있음을 확인했다.

장승훈 한림대학교성심병원 호흡기내과 교수, 강혜린 한림대학교동탄성심병원 호흡기내과 교수, 이춘택 분당서울대병원 호흡기내과 교수 연구팀은 '70세 이상 남성의 1회 저선량 CT 검진을 통한 폐결절 및 폐암 검출' 연구에서 이 같은 사실을 확인했다고 20일 밝혔다.

연구팀은 2010년부터 2023년까지 70세 이상의 재향군인 남성 1409명을 대상으로 저선량 흉부 CT 검사를 1회 시행하고 이후 3.6년간(참여자의 절반이 해당 기간 이상 추적) 추적관찰을 진행했다. 이를 통해 폐결절 및 폐암 유무, 폐암의 병기와 조직학적 분류(아형), 치료 방식 등을 분석했다.

검진 대상자의 평균 연령은 74.2세였고, 93%는 현재 흡연자이거나 과거 흡연경험이 있었다.

분석 결과 전체 대상자의 절반 이상인 55.8%(786명)에게서 폐결절이 발견됐고, 이 중 12.7%(179명)는 양성 폐결절이었다. 양성 폐결절은 암(악성)이 아니지만 극히 일부는 폐암으로 진단되거나 크기가 증가하며 폐암으로 진행될 수 있어 추적관찰이 요구된다. 양성 폐결절 환자에게 적절한 추적관찰을 진행한 결과 2.2%(31명)가 폐암으로 진단됐다.

저선량 흉부 CT 검사 후 폐암 진단까지 걸린 기간은 평균 9.3개월로 1년이 채 안 걸렸다. 이는 고령층에서 발견된 폐암이 더 공격적이고 빠르게 진행될 수 있음을 의미했다. 또 흡연 여부는 폐암 진단과 상관관계를 보였다. 현재 흡연자의 폐암 진단율은 3.6%(16명)로, 비흡연자 1.9%(2명)와 과거 흡연자 1.5%(13명)에 비해 높았다.

[서울=뉴시스] 한림대동탄성심병원 저선량 흉부 CT 검사 모습. (사진= 한림대동탄성심병원 제공)
[서울=뉴시스] 한림대동탄성심병원 저선량 흉부 CT 검사 모습. (사진= 한림대동탄성심병원 제공)
폐암 병기는 1기 48%(15명), 2기 13%(4명), 3기 16%(5명), 4기 23%(7명) 순이었다. 절반 이상(61%)이 폐암 초기 병기(1·2기)로 나타났으며, 이들은 비교적 조기에 암을 발견해 수술적 치료를 받을 수 있었다. 이외에도 폐암으로 진단된 전체 환자의 90%는 화학요법과 방사선치료 등 병기에 맞는 적절한 치료를 받았다.


강혜린 교수는 "이번 연구를 통해 고령자를 대상으로 한 번의 저선량 흉부 CT 검사만으로도 폐암의 조기 발견과 적절한 치료를 가능케 하는 실질적인 효과를 거둘 수 있음을 확인했다"며 "현재 폐암 국가검진 연령이 74세 이하로 제한돼 있지만 75세 이상에서도 폐암의 조기 발견과 적극적인 치료가 충분히 가능함을 시사한다"고 설명했다.

장승훈 교수는 "저선량 흉부 CT 검사는 특히 흡연력, 만성폐쇄성폐질환(COPD), 폐기종 등 폐암 고위험 인자를 가진 고령 환자에게 매우 유용한 도구가 될 수 있다"며 "이번 연구는 향후 폐암 검진정책 개선과 고령층의 폐암 사망률 감소에 기여할 것으로 기대된다"고 말했다.


이번 연구는 SCIE급 국제학술지인 '캔서스'(Cancers) 7월호에 게재됐다.

☞공감언론 뉴시스 you@newsis.com <저작권자ⓒ 공감언론 뉴시스통신사. 무단전재-재배포 금지.>