의학·과학 병원

치주질환, 동맥경화·치매까지 유발 "6개월마다 정기검진"

강중모 기자

파이낸셜뉴스

입력 2025.09.02 09:39

수정 2025.09.02 09:39

우리나라 다빈도 상병 압도적 1위 '치주질환'
감기보다 잇몸병으로 병원 찾는 환자 더 많아
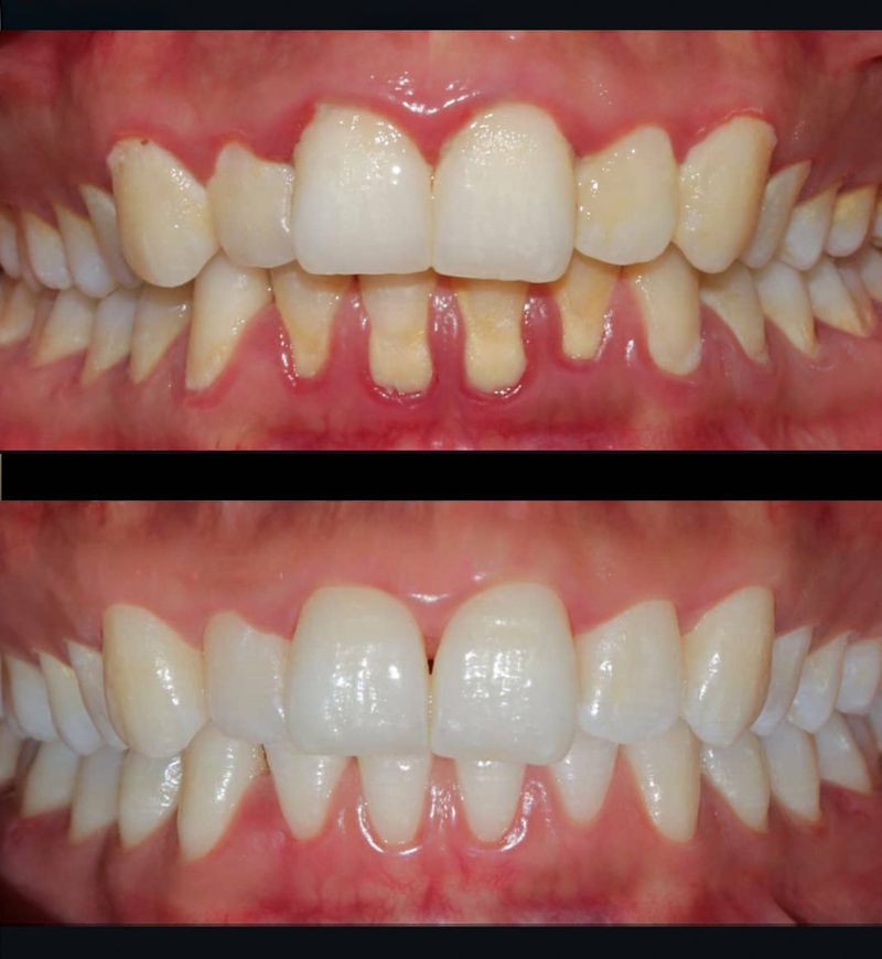
치주질환 치료 전(위)과 치료 후 사진. 고대안산병원 제공
치주질환 치료 전(위)과 치료 후 사진. 고대안산병원 제공

[파이낸셜뉴스] 국민질환으로 불릴 만큼 흔한 치주질환이 단순히 잇몸병에 그치지 않고, 전신 건강에 심각한 영향을 미칠 수 있다는 연구 결과들이 이어지고 있다.

다양한 질환에 부정적 영향을 줄 수 있는 치주질환 예방을 위해서는 올바른 구강 관리와 정기적인 검진이 무엇보다 중요하다.

2일 건강보험심사평가원 통계에 따르면 지난 2019년 이후 ‘치은염 및 치주질환’은 우리나라 다빈도 상병 1위에 올랐다. 그동안 1위를 차지했던 급성 기관지염을 앞지른 결과다. 즉, 잇몸병으로 병원을 찾는 환자가 감기보다 많아진 셈이다.



치주질환은 치아를 둘러싼 잇몸은 물론, 치아를 지지하는 잇몸뼈와 치주인대까지 영향을 미치는 질환으로, 흔히 치은염과 치주염으로 나뉜다. 초기에는 가볍게 피가 나는 수준이지만, 악화되면 잇몸뼈가 손상돼 치아가 흔들리고 결국 빠질 수도 있어 ‘풍치’로 불린다.

치주질환은 구강 문제에 국한되지 않는다. 구강 내에는 약 700여 종의 세균이 존재하며, 잇몸은 혈관이 풍부해 세균이 쉽게 혈류로 침투할 수 있다. 특히 대표적인 원인균인 P. gingivalis는 혈관 내피세포를 자극해 동맥경화를 유발하고, 심혈관 질환 위험을 높이는 것으로 알려져 있다.

또한 치주염은 염증 반응을 촉진해 인슐린 저항성을 높이고 혈당 조절을 방해해 당뇨병과도 밀접한 관련이 있다. 최근 연구에서는 치주염 세균의 독소가 알츠하이머 환자의 뇌에서 발견되며 치매와의 연관성도 제기되고 있다.

치주질환 예방의 기본은 올바른 칫솔질이다. 특히 ‘변형 바스법(Modified Bass Method)’이 치주 건강에 효과적이다.

칫솔모를 잇몸과 치아 경계에 45도 각도로 대고 미세하게 진동을 주며 양치하는 방식이다. 다만 칫솔질만으로는 최대 60% 정도의 세균막만 제거할 수 있어, 치실·치간 칫솔·구강 세정제 등 보조 도구를 함께 사용하는 것이 권장된다.

김 교수는 “자기 전 양치질은 반드시 해야 한다”며 “산성 음식을 섭취한 직후에는 물로 헹군 뒤 30분 후에 양치하는 것이 치아 보호에 좋다”고 조언했다.

치주염은 완치보다는 꾸준한 관리가 중요한 만성 질환이다. 증상이 없더라도 최소 6개월마다 정기 검진과 스케일링을 받는 것이 필요하다.
특히 중증 환자, 구강 위생 습관이 불량한 경우, 만성 질환이 동반된 환자는 3개월마다 정기 관리가 권장된다.

vrdw88@fnnews.com 강중모 기자